当前位置:主页 > 365bet中文官网 >

365bet中文官网

  • 天津市国家检察院

    为打击恶势力犯罪,天津市金融机构加强了赌博责任,忠实履行了起诉职能,镇压作用,工作效率两起案件,“市医院督导,跳楼”...

  • wēng的姓氏

    他是中国最早的姓氏富富美的始祖周Zhou国王的老师。 红班翁的大榕树移民的始祖是平阳,洪洞,兆城等。明朝初期,洪洞的主要幼...

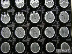
  • 如何阅读cT脑图像

    全部展开 颅骨的CT扫描是轴向位置,即从上到下或从下到上切割。每个图像厚5毫米。换句话说,可以在图像中以5mm的厚度显示头部组...

  • 上海雕刻餐厅管理有限公司(雕塑和测

    常见问题 关于上海精艺餐饮管理有限公司的薪酬与健康管理 上海吉一餐厅管理有限公司(雕塑与测试方法),上海雕塑餐厅管理有...

  • 净红蜂蜜广播YQ女神海洋葱1小时现场表

    第一条评论 [下载地址1][下载地址2][韩语R级电影-9小时基本版][720P HD][HD-MKV / 7。 56G][韩国R级,许多女神][戏剧][欧洲32级收藏R][720P /...

  • 咸排骨908g

    公司介绍 安徽振威厨卫食品有限公司位于国家“医疗高地”大加经济开发区A区,总投资超过2000万元。一家集生产,研发和销售于一...

  • 什么是风,什么是波?

    全部展开 [风浪]代表着水路的快速发展。 [Changfeng and Waves]比率比喻雄心勃勃,大胆行动,不怕困难。 [乘风破浪]船在乘风破浪。 比...

  • [Dragon正在享受]轻松获得大眼睛边界T-

    周末我什么都不在家。起床坐下后,我以为我一个星期都不会原谅自己,于是春心开始动摇。 离开圆环,朝黄兴路走,路口是龙翔,...

  • 居民警察警察警察警察警察警察警察警

    螳螂蝉蝉警察警察警察警察警察警察 2017年4月1日08:02来源:查看新闻网络 原标题:螳螂现状居民警察警察警察警察警察警察警察警察...

  • 塑料光缆OD2.2光缆

    编号:sd-f22b名称:2。 光纤电缆2f-y类型f22b:音频光纤电缆标准音频对迷你音频光纤电缆描述:覆盖材料:电缆pe大外径:2。 芯材...

  • 张莹莹的男友欧玉林是北京大学或清华

    相关建议 克里斯滕森(Christensen)是罪恶的羔羊背景照片的罪犯或妻子。犯罪嫌疑人拒绝支付张英英尸体的代理费。犯罪嫌疑人被邀...

  • 2019年班金豪奥化学有限公司春季建设项

    班金豪奥化学有限公司2019年春季建设项目建设“ 100天战斗”座谈会圆满结束。 发布日期:2019-02-2109:47:38 Click:Times 2019年2月20日...

热门文章

随机推荐