全部展开 人类的出现是一种衰退。 互联网上的大多数人都认为,孔子的诅咒是相貌相仿的人的产物,但是很难消除腐败这一神圣的...
全部展开 LX是国际照明部门。LX是照明的合法标志。中文名称是勒克斯,也称为仪表蜡烛,被称为“ le”。 Lux是可以通过在1平方米的...
有关金属的贵重价格问答的问答 模拟操作与实际外汇操作之间有区别吗? 当然,在模拟磁盘上创建的列表没有实际分配,并且公司...
Crossfire手机游戏将在不久的将来开放一个新版本,并将在过去的12小时内保持平衡,从而启动一个新的地图恐龙博物馆,高清电源,...
深深的判断力 [深][旧]“ Tan Yun”,“ Ji Yoon”,“ Yun Huy”,“ Jen Yun”风格的针剪和声音。 水名 “文字说”是从南平贵阳到西营地...
相关问答 定期喝奶茶可以吗? 3344母乳喂养时可以喝牛奶加茶,对身体有什么影响? 4864哪种奶油最适合在家阅读奶茶? 阅读适合与...
[一般] 线价:线价是产品销售指导价或显示的产品销售价。这仅供参考,并非原始价格。 单价:单价是产品在阿里巴巴中国站的售价...
同时出版 ``杭州文博'' 杭州文物博物馆 2018年第2版 日记详情 保护与传承发展:临安市遗址的总体保护。 杭州北塔的考古调查,地球...
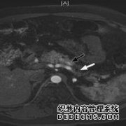
全部展开 在胰腺病变中,胰管扩张的程度各不相同。 超过95%的胰头癌病例有不同程度的胰管扩张。 对于慢性胰腺炎,胰管扩张为...
段德昌的雕像在南县德昌公园。 灵感,少年,钢笔,矛 一年四季都喝米糠汤。 稻米使用鱼类,市镇的自我意识。 决定拿着红色的步...
三林重工桑德的改进过程可提高生产率并降低故障率。 发布日期:2019/10/1214:05:33 资料来源:www。 安曼林 通讯 花岗岩是一种分布...
回答 状态分析:你好! 这两种草药可以一起食用,夏草平而甜美,属于12种经典食品。 在中药中,甘草补脾,补气,养肺,减少排...
游戏介绍 童话是一款以童话为主题的移动角色扮演游戏。...
还记得刘锦标,第二位获得猎人勋章的真实人物吗? 林金仁...
大家都在看 CICAPAIR占领了红色光芒,Ti Jiaating和亚洲皇帝Ka...
“战狼2”是2017年中国电影最大的惊喜。创造了令人印象深刻...
资料来源: 南方日报在线 时间:2019-10-1313:58:28 原始的高...
在农历新年期间,绝地的国内生存也进入了淡季,所有主要...
全部展开 实名报告负责人张素玲和平宝(张素玲的丈夫)属...
杨植无法解释 [儿][老]“唐韵”限期割“智云”“云辉”“...
请与全国的SYM分销商联系以检查到达状态,因为主要城市持...
摄影系统研究°22:请专注于拍摄。 你的支持是我创作的动力...